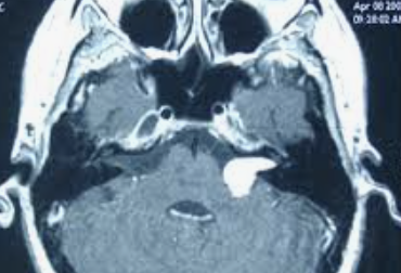
N...eurinome
Tumeur nerveuse bénigne développée aux dépens du nerf acoustique, encore appelée schwannome, car elle naît précisément des cellules de la gaine du nerf, les cellules de Schwann.
Tumeur exceptionnelle autrefois. Il me revient les propos d’un patron à ses tout jeunes élèves : vous en diagnostiquerez peut-être deux dans votre carrière.
Elle reste exceptionnelle, mais tout s’accélère à notre époque…
Ma carrière approche de son terme et j’en ai diagnostiqué plus de vingt. Mon cas n’est pas unique. Tous les Oto-Rhinos que je coudoie en ont fait autant.
Il existe donc vraisemblablement une augmentation des cas découverts, ce qui ne veut pas nécessairement dire une augmentation du nombre de ces tumeurs.
L’amélioration des techniques diagnostiques, sa recherche plus systématique en sont indiscutablement une explication.
Qu’en est-il de la nocivité des téléphones portables et des téléphones fixes sans fil notamment dans sa possible genèse ?
Rien de formel sur les méta-analyses européennes, mais des doutes… suffisants pour que l’on prenne l’habitude du kit-oreille ou que l’on change régulièrement d’oreille pour écouter.
Une étude rétrospective sur 450 000 sujets, faite au Danemark de 1981 à 1995, n’a pas trouvé de différences significatives d’incidence des tumeurs du cerveau (notamment le neurinome de l’acoustique).
Source : Johansen C. et coll. Cellular telephones and cancer : a nationwide cohort study in Denmark. KJ Narl Cancer Inst 2001 ; 93 :203-7.
Cependant cette étude reste contestable, car le suivi paraît insuffisant et on peut relever un conflit d’intérêts, car financée par des opérateurs de télécommunications.
D’autres études semblent dire le contraire, notamment pour les grands utilisateurs, mais il existe des biais dans la sélection ou des erreurs dans l’évaluation de l’exposition qui invalident les résultats.
(Enquête internationale Interphone, coordonnée par l’International Agency for Research on Cancer lancée en 2000 dans 13 pays développés).
Une seule méta analyse (Hardel M et al sur Int. J Oncology en 2008) semble retrouver une augmentation significative du risque en fonction du temps d’exposition, mais là encore un faible effectif testé et des incohérences (risque élevé pour une faible utilisation) discréditent les résultats.
Que penser ?
À ce jour, aucune étude ne retrouve un lien formel de causalité absolu entre la durée d’exposition au téléphone portable et le développement notamment d’un schwannome vestibulaire (encore nommé neurinome de l’acoustique).
Le neurinome est bénin, mais la chirurgie proposée n’est pas anodine.
On peut utiliser une radiothérapie exclusive (le gamma knife) qui délivre en une fois une radiothérapie gamma, quand c’est une bonne indication, sur le site tumoral.
Mais les neurinomes ne sont pas les seules tumeurs cérébrales incriminées par les émetteurs de micro-ondes.
Et certaines ne sont pas bonnes…
Alors ?
Que faut-il faire du côté de chez Schwann… et d’ailleurs ?
Peut-on empêcher cette évolution ?
Peut-on et désire-t-on vivre sans ces outils d’information sachant qu’une frange de la population décrit ce que l’on appelle maintenant un syndrome d’électrohypersensibilité (EHS) consécutif à l’exposition aux ondes électromagnétiques ?
Ça paraît bien difficile…
Que se passerait-il de nos jours si les ordinateurs d’un pays cessaient de fonctionner ?
La désorganisation qui s’en suivrait serait totale bien qu’impensable il y a quelques décennies !
C’est la même chose pour les téléphones sauf à vouloir quitter notre monde moderne !
Mais un principe de précaution ? Certainement ! Mais comment ?
Que voulez-vous, monsieur ? Tout a une fin en ce monde, et il faut croire que le temps des moulins à vent était passé comme celui des coches sur le Rhône, des parlements et des jaquettes à grandes fleurs.
Alors, faisons contre mauvaise fortune bon cœur et apprenons à vivre avec qui sait, des zones blanches en certains endroits ou des zones à faible irradiation de micro-ondes ! Car nul n’empêchera le monde d’évoluer, tout maître Cornille que nous sommes.
Colaborar
Puedes apoyar a tus escritores favoritos


Comentario (0)